Menú
x
Horario de atención

Horario de atención

Martes - Domingo, 10:00 AM - 08:00 PM

x
Facebook
Instagram
Whatsapp

Dr. Raúl Méndez Cifuentes

Dr. Raúl Méndez Cifuentes

Facebook
Instagram
Whatsapp

Soy odontólogo con especialidad en ortodoncia y maestría en ciencias odontológicas y en logoterapia, tengo una experiencia de 15 años en el ramo y he dado clases en la facultad de medicina y odontología por 13 años.

Déjanos tus datos
y en breve te contactaremos



Nuestros Servicios

Mi pasión es mi práctica profesional tanto en la consulta como en la docencia, me encanta que mis pacientes siempre salgan con una gran sonrisa y con ganas de regresar al dentista.

Ortodoncia

Reiki

Psicoterapia

Odontología General

Emergencias Dentales

Invisalign, alineadores y ortodoncia sin brackets

Endodoncia

Periodoncia

Rehabilitación Oral

Cirugía Oral

Limpiezas Dentales

Blanqueamientos

Prótesis e Implantes

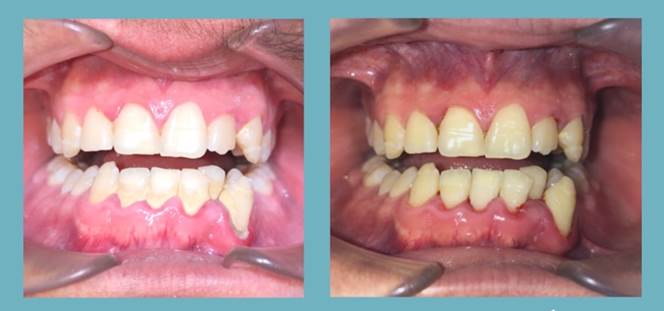
Portafolio de Evidencias

Nuestros Horarios de Atención

Mi pasión es mi práctica profesional tanto en la consulta como en la docencia, me encanta que mis pacientes siempre salgan con una gran sonrisa y con ganas de regresar al dentista.


Agenda tu cita

Calendario
10:00 AM
11:00 AM
12:00 PM
01:00 PM
02:00 PM
03:00 PM
04:00 PM
05:00 PM
06:00 PM
07:00 PM

Consultorio en CDMX

Avenida Niños Héroes de Chapultepec 163, Niños Héroes de Chapultepec, Niños Héroes, Ciudad de México.


Contacto



Currículum y Experiencia

Cirujano Dentista

por la Universidad Latinoamericana

Ortodoncia

por la Universidad Latinoamericana

Logoterapia y reiki

por el Instituto de Psicologia Viktor Frankl

Diplomado en implantologia y rehabilitación oral

Certificación como Invisalign doctor

Expositor en Seminarios de investigación en medicina

Sinodal en el concurso nacional de investigación científica-médica

Curso de actualización en técnicas de ortodoncia Damon

Profesor en Ortodoncia y Cirujano Dentista

en la Universidad Latinoamericana

Profesor en Medicina

en la Universidad Del Valle de Mexico

Profesor en Ortodoncia

en la Universidad Tecnologica de Mexico

Especialista en Ortodoncia y Odontólogo General

en Dentalia - Suc. Pabellon Bosques

Asesor

en la Universidad Autonoma Metropolitana - Unidad Xochimilco

Profesor de Pregrado en Odontología

en la Universidad de Ciencias y Administración – UCAD

Enfermedades Tratadas

D
Dedicación
W
Wellness (Bienestar)
E
Estética
L
Libertad
L
Lealtad

Contáctanos

Mi pasión es mi práctica profesional tanto en la consulta como en la docencia, me encanta que mis pacientes siempre salgan con una gran sonrisa y con ganas de regresar al dentista.

Contacto de emergencia

55 3522 6228

55 2357 4700

Contacto
Whatsapp
Logotipo

Datos de la cita







Elige tu forma de pago

En línea Presencial
Agendar cita Cancelar